難治性の下痢や嘔吐、腹水貯留症例、原因不明の体重減少などの診断と治療を行います。 診断手順としては、血液検査、超音波検査、レントゲン検査などを用いて検査を進めていきます。 必要があれば、内視鏡検査や腹腔鏡検査を行いますが、これらの検査は全身麻酔が必要であるため、初診当日に検査ができないことがほとんどです。一般的な内科治療を行ってから、全身麻酔を必要とする検査を実施します。



肝臓腫瘍、原因不明の肝酵素上昇、門脈体循環シャント、胆嚢疾患(胆石、胆泥、胆嚢粘液嚢腫)膵臓疾患(慢性膵炎、急性膵炎、膵膿瘍、インスリノーマ、ガストリノーマなど)の診断治療を行います。 検査には、一般的な血液検査やレントゲン検査、超音波検査に加えて、超音波造影検査やCT検査が必要となる場合があります。
正常犬の門脈造影
先天性門脈体循環シャントの3DCT画像
犬の肝臓の超音波検査画像門脈体循環シャントや慢性肝疾患を疑っている場合は、食前食後のアンモニアと食前の胆肝スクリーニング検査1(富士フィルムモノリス)、食後の胆汁酸の検査を外来前に行っていただけると、検査がスムーズに進みます。
緊急対応は基本的に平日であればなるべく受け入れています。 動物病院受付までお尋ねください。



腹腔鏡検査は、皮膚に小切開を加えて、腹腔内にカメラを入れて腹腔臓器を観察し、組織検査を実施する検査です。
循環器(心臓など)と呼吸器(肺、気管支など)は当然異なる臓器ですが、最終的に症状として表れる 「疲れやすい」、「呼吸が苦しそう」、「咳をする」といった症状は似通っており、両者を切り離して 考えることは困難です。そのような観点から、本院では両者を併せて診断/治療できる体制を整えて います。特に超音波検査(工コー検査)に力を入れて診療を行っております。病気の診断のみならず、 治療指針の提示や予後の評価を行っています。
心臓病の診断に欠かすことの出来ない検査です。また、呼吸器疾患によって二次的に心臓に影響が生じるケースも珍しくありません。 人間の医療では心臓カテーテル検査や心臓MRI検査などの精密検査の下に位置づけられる検査ですが、これらの検査が難しい獣医療においてはより重要性の高い精密検査として位置づけられています。 しかしながら検査者ならびに検査機器による差異が極めて大きいという特徴を持つ検査であり、同じ検査でも得られる情報には雲泥の差があります。 本院は、ソフト面、ハード面ともに日本屈指の体制を構築し、日々の検査をおこなっています。


▲strain解析
心筋の動きを捉えて数値化することで、これまで把握できなかった様々な情報を与えてくれる検査
レントゲンでわからなければ麻酔をかけてCT、と思われがちな肺の病気ですが、エコー検査で診断することが出来ることは意外と知られておりません。 本院ではこの肺のエコー検査に力を入れており、麻酔の危険を冒すことなく確定診断を得られるケースも少なくありません。


▲レントゲンでは不鮮明であった肺水腫のエコー画像。これにより治療方針は大きく変わる。


▲肺炎のエコー画像。通常エコーでは写らない肺が炎症産物の影響で可視化される。さらにエコーガイドで針を刺すことで炎症細胞、細菌の同定までが可能となる。麻酔は通常必要ない。
血液内科についてはご相談ください。
脳、脊髄、末梢神経、筋肉の病気を内科的に診断、治療します。 神経系は全身の感覚や機能をコントロールする重要な働きを有しており、障害される部位や程度によって様々な症状を示します。そのため、診察では詳しい問診から身体検査(頭〜四肢〜尾までの全身)、血液検査、種々の画像診断などを組み合わせて診断を行うため、初診の方は時間がかかります。 治療方針が決定し、外科手術が必要な病気については、他の診療科と協力して治療を行います。 可能であれば、紹介元の動物病院で治療をお願いすることも多いです。
胸腰部椎間板ヘルニア症例のMRI
胸腰部椎間板ヘルニア症例の脊髄造影赤矢印は逸脱した椎間板物質による脊髄の圧迫部位を示す
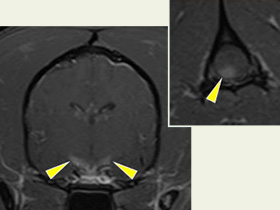
特発性脳炎症例のMRI(造影後T1強調画像)


神経学的検査、MRI検査、髄液(脳脊髄液)の細胞診によって肉芽腫性髄膜脳脊髄炎(GME)と診断し、免疫抑制剤による治療を開始した。
脳の視覚経路と脊髄に病変が認められた
脳脊髄液中に増加した炎症細胞
治療開始前
治療を開始して1カ月後治療開始前(左)は起立困難であったが、治療を開始して1カ月後(右)には起立可能で歩様もほぼ正常であった。
症状の再発に留意しつつ、内服薬の減量を行いながら一定期間経過を観察し、紹介元の動物病院へ戻った。
検査依頼に応じ、寄生虫病の診断を行います。
寄生虫の虫体鑑別をはじめ、血液検査、糞便検査、抗体検査などの様々な検査を実施しています。
また、寄生虫病の治療や予防に関する相談も、随時、対応しています。



主に犬の病気ですが、時々猫にも寄生がみられます。
各個体の病態を見極め、治療法を選択します。
犬糸状虫寄生例の肺動脈重度拡張
犬糸状虫の摘出術
手術で摘出された犬糸状虫その他の内科疾患についてはご相談ください。
当院は「宮崎地域動物医療ネットワーク」の中核病院です。
宮崎大学農学部附属動物病院
住所:宮崎県宮崎市学園木花台西1-1
TEL:0985-58-7286(動物病院受付)
FAX:0985-58-7156(動物病院受付)
© 2018 Miyazaki University Veterinary Teaching Hospital. All Rights Reserved.